Sốt và ho là những triệu chứng thường gặp ở trẻ nhỏ, đặc biệt trong thời điểm giao mùa. Tuy nhiên, đằng sau những biểu hiện tưởng chừng đơn giản đó có thể ẩn chứa những biến chứng nguy hiểm nếu không được theo dõi sát sao.
Bé K. (6 tuổi), được đưa vào Khoa Nhi – Bệnh viện Đa khoa Gia Đình trong tình trạng sốt hai ngày kèm ho nhiều. Qua thăm khám ban đầu, các bác sỹ ghi nhận trẻ tỉnh táo nhưng thở nhanh, phổi có ran ẩm – dấu hiệu điển hình của viêm phổi.
Tuy nhiên, điều khiến ê kíp bác sỹ đặc biệt lưu tâm là những dấu hiệu trên da trẻ: các ban sung huyết ngứa vùng ngực, lưng và rải rác vài chấm xuất huyết nhỏ. Nhận định tình trạng nhiễm trùng có thể là yếu tố khởi phát cho các rối loạn miễn dịch tiềm ẩn, các bác sỹ đã chỉ định nhập viện với chẩn đoán: Viêm phổi, đồng thời theo dõi sát nguy cơ xuất huyết giảm tiểu cầu.
Trong những ngày đầu điều trị theo phác đồ viêm phổi, tình trạng hô hấp của bệnh nhi cải thiện tích cực, sốt giảm và ho ít dần. Tuy nhiên, đến ngày điều trị thứ ba, diễn biến bất thường xuất hiện: các ban xuất huyết trên da dày đặc hơn, kèm theo chảy máu chân răng.

Hình ảnh xuất huyết dạng nốt, mảng
Ngay lập tức, xét nghiệm công thức máu được thực hiện khẩn cấp. Kết quả cho thấy số lượng tiểu cầu giảm sâu ở mức báo động, chỉ còn 2 × 10⁹/L (chỉ số bình thường 150 – 450 × 10⁹/L).
Sau khi loại trừ các nguyên nhân khác như Sốt xuất huyết Dengue, các bác sỹ xác định đây là tình trạng Xuất huyết giảm tiểu cầu miễn dịch cấp tính sau nhiễm trùng (ITP). Nếu không can thiệp kịp thời, bệnh nhi đối mặt với nguy cơ xuất huyết nội tạng, đe dọa tính mạng.
Chiến lược điều trị lập tức được điều chỉnh:
- Duy trì kháng sinh để kiểm soát ổ nhiễm trùng phổi.
- Sử dụng Corticosteroid liều cao đường tĩnh mạch để ức chế miễn dịch, nâng số lượng tiểu cầu.
Đáp ứng với phác đồ điều trị tích cực, tình trạng của bé K. cải thiện từng ngày:
- Sau 2 ngày: Tiểu cầu tăng lên 19 × 10⁹/L, các vết xuất huyết mờ dần, không còn chảy máu mới.
- Ngày 09/01/2026: Tiểu cầu phục hồi hoàn toàn về mức bình thường (225 × 10⁹/L).
Song song đó, tình trạng viêm phổi cũng được kiểm soát tốt. Bé K. hồng hào, ăn uống tốt và được xuất viện trong niềm hạnh phúc của gia đình.

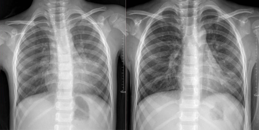
Hình chụp Xquang phổi trước và sau điều trị
Chia sẻ về ca bệnh này, ThS. BS. Đinh Công Vũ – Khoa Nhi, Bệnh viện Đa khoa Gia Đình cho biết:
“Xuất huyết giảm tiểu cầu miễn dịch ở trẻ em có thể khởi phát sau một đợt nhiễm trùng và diễn tiến rất nhanh. Trường hợp của bé K. cho thấy vai trò quan trọng của việc quan sát kỹ các thay đổi trên da và niêm mạc trong quá trình điều trị. Phụ huynh cần đặc biệt lưu ý, nếu trẻ đang ốm sốt mà xuất hiện các chấm đỏ lạ trên da, chảy máu chân răng hoặc bầm tím không rõ nguyên nhân, cần báo ngay cho bác sỹ để được xử trí kịp thời.”
Tại Bệnh viện Đa khoa Gia Đình, với đội ngũ bác sỹ chuyên khoa giàu kinh nghiệm cùng hệ thống xét nghiệm hiện đại, mọi diễn biến bất thường đều được theo dõi chặt chẽ 24/7, đảm bảo an toàn cao nhất cho người bệnh trong suốt quá trình điều trị.
ThS. BS. Đinh Công Vũ
Khoa Nhi, Bệnh viện Đa khoa Gia Đình












